정이든 정보노트
태아의 심장초음파 본문

태아 심장 초음파의 중요성
아이들 중에 절반 이상이 이 심장기형으로 사망하고 있다. 치명률이 높기 때문에 자세히 보아야 한다. 위험도는 신경관 결손보다 4배, 심각한 염색체 이상보다 6배나 더 높게 발생한다. 태어난 지 1년 이내에 높게 발생하는 선천적인 심장기형은 4가지나 있다. ventricular septal defect, coarctation of the aorta , transposition of the great arteries , tetralogy of fallot 심장초음파의 정확도가 높음에도 불구하고 임신 2 삼분기에 기형을 진단하는 경우는 매우 낮다. 보통 4 chamber view로 태아 심장으로 관할하고 있기 때문이다. 이 검사 view로 만으로는 위에 열거한 심장기형을 확실하게 찾아내기 어렵다. 그래서 targeting sono나 fetal echocardography를 할 수 있어야 한다.
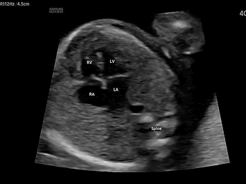
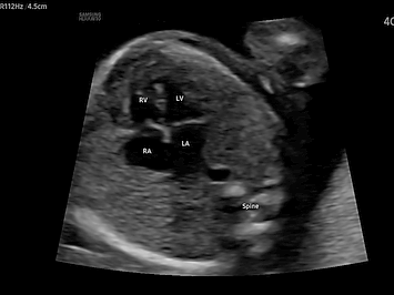
정확하게 확인할 수 있는 태아의 심장 초음파시기
20주~28주 가 가장 이상적이다. 그 이전의 시기는 태아의 구조물 크기가 작아 정확하게 눈으로 확인하기 어렵고, 이 시기가 지나면 태아의 늑골이 석회화가 증가하고 상대적으로 양수의 양이 감소하며 태반의 두께가 두꺼워지므로 초음파 빔이 통과하기 어려워 완벽한 검사를 기대하기 어렵다. 확인할 수 있는 가장 빠른 시기에 정확하게 진단을 내리고 그 뒤에 확인하기 어려웠던 부분들은 계속해서 주기적으로 관찰을 요한다. 소아나 성인과는 달리 태아는 계속 태동을 하며 위치를 바꾸기 때문에 항상 일정한 단면을 얻을 수 없으므로 반드시 태아의 위치를 확인하고 위치에 따른 심장의 내부구조를 입처적으로 형상화해야 원한느 단면을 얻을 수 있으므로 해부학적 구조의 상관관계를 알고 순차적인 분석을 시행하여야 한다. 태아의 심장 구조가 생기는 시기 배아에서 심장의 생성은 수정되고 2~7.5주 사이에 완성된다. embyogenesis동안 primitive cardiac tube 가 형성되고 primitive chamber로 진행되고 그 자체가 loop를 만들고 아주 복잡한 형샹으로 된 2개의 면으로 구분 지어진다. LMP10주 때부터는 심장 구조가 지속적으로 성장하고 성숙하게 되면 모든 구획이 끝난다. 따라서 다름 문제들은 10주 이상에서는 생성되지 않는다. transposition of the great arteriosus, artrioventrisular canal defect, tetralogy of fallot , ebstain's anomaly
태아의 생리적인 순환기 사이클
태아의 폐는 자궁 안에서 접혀 있어서 폐혈관의 저항이 매우 높다. 태아 폐 성숙을 위해서 심실 혈류는 10%만 순환되고 있다. 나머지 우심실 혈류는 foramen ovale이나 ductus arteriosus를 통해 오른쪽에서 왼쪽으로 이동하게 된다. 대부분의 descending aorta혈류는 우심실에서 나와서 ductus를 거쳐 온 것이며 좌심실에서 나와 aortic isthmus로 통해 descending aorta에 온 것은 심박출량의 10%밖에 안된다. 따라서 좌심실에서 나온 혈류는 주로 머리와 상지에 공급이 된다. 출생하면 중요한 순환기 사이클이 일어난다
1) 낮은 저항의 태반 순환이 사라지고 즉시 systemic vascular 저항 상승이 오래 지속된다.
2) 출생 후 첫 호흡은 폐 팽창하게 만들고 한 시간 이후에 폐혈관 저항이 급격하게 낮아진다. 1일~6주간 저항이 서서히 떨어지게 되며 성인과 비슷한 정도의 낮은 폐혈관 저항도에 도달하게 된다.
3) 즉시 전신과 폐혈관 저항의 역전과 폐정맥 순환 증가는 좌심과 우심의 압력을 역전시키고 난원공을 닫게 만든다.
4) 산소 포화상태 증가도 자극이 돼서 생후 1시간 후에 ductus arteriosis 가 닫히게 된다. 이로서 낮은 압력, 낮은 우심의 압력, 높은 산소포화도, 높은 좌심 압력의 특징을 갖게 된다.
이 태아의 순환기 사이클을 알면 중요해지는 심장혈관기형
1. 태아가 자궁 내에서 생존하기 위해서는 한쪽 심장기능만 필요하기 때문에 대동맥 협착증이나, 좌심실 형성부전의 태아도 살 수 있다. (foramen ovale, ductus arteriosis 가 있기 때문이다)
2. 태아의 선천성 심장기형의 대부분은 대동맥 협착과 같은 복잡한 구조 기형 때문이 아니라 판막 역류를 동반하는 이유로 나타난다. 그 원인은 다음과 같다. volume overload of the heart (AV valve regurgitation(AV canal defect , ebstein's anomaly, critical valvulat aortic stenosis with mitral regurgitation), semilunal valve regurgitationhigh output congestive failure(심각한 TTTS), Bilateral outflow obstruction , inflow obstruction , myocardial dysfunction)
3. 자궁 내에서도 잘 견디는 태아는 출생하게 되면 ductus의 폐쇄, 난원공 닫힘, 산소공급기관인 태반이 제거되므로 신생아기에 치명적일 수 있다.
따라서 정확한 시기에 초음파로 미리 예측을 정확히 하여 태아 관리를 더 성공적으로 할 수 있도록 해야 한다.